通告:由于近日医托猖獗,我院温馨提醒广大患者,为保障大家就诊权益,来我院就诊途中一定要提高警惕,谨防医托行骗。咨询热线:010-82000600。
德胜门中医院 > 胃炎 > 食管炎 >

食管炎形成的原因和治疗方法

我院开通网络咨询、预约挂号服务

咨询电话:010-82000600 微信公众号:dsm_wc

  食管炎是什么?食管炎是怎么产生的,食管炎的症状有哪些呢?如果得了食管炎该怎么办呢?相信这些问题是很多患者朋友想要了解的,如果你也有类似困扰,建议花费3钟,认真阅读下面的内容,一定会有所收获。

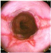
  食管炎即食道炎,泛指食管黏膜浅层或深层组织由于受到刺激或损伤,食管黏膜发生水肿和充血而引发的炎症。化学性刺激包括胃酸、胆汁、烈酒以及强酸、强碱、药物等;物理性刺激包括烫的食物、食管异物(鱼刺等)嵌顿,长期放置鼻胃管等。由于化学治疗、放射治疗导致食管局部受损,或患者本身抵抗力下降导致结核杆菌、真菌(念珠菌)或病毒感染亦可引发食管炎。临床最常见的是胃酸反流引起的反流性食管炎。

width="173"

  温馨提示:想了解更多关于食管炎病因的知识?点击【在线咨询】或拨打电话010-82000600让医师告诉您


  食管炎临床症状有哪些?

  反酸:反酸是反流性食管炎的症状主要表现之一,发生在每次吃饭后、躺着或睡觉时,胃内的消化液或食物反流到口腔或咽部。>>> 反酸情况严重,找医生帮忙

  吞咽困难:喉咙干涩、疼痛,吞咽非常困难,甚至咽口水都感觉到刺痛。

  灼烧疼痛:灼烧感、灼烧疼痛多发于反酸之后,特别在饭后躯体前屈、半卧位、剧烈运动是发生,饭后一小时左右最容易出现。


  食管炎反复发作危害有哪些?

  食道狭窄:食道狭窄是食道炎最常见的并发症,发生率为25%~100%。狭窄部位多于食道中上段的鳞-柱状上皮交界处,而胃食道反流引起的狭窄多位于食道下段。

  霉菌性食道炎:反流性食道炎可引发食道溃疡反流性食道炎可引发食道溃疡,疼痛可放射至背部,并可引起穿孔、出血

  出血:出血是因为炎症没有找到确切的发病原因对其治疗,而每天必须的食物进一步对炎症造成伤害,导致粘膜血管破裂,引发出血,严重时可出现无征兆呕血或者血便。

  根据自己的情况让医师帮忙分析病情,请点击【在线咨询】或直接拨打电话 010-82000600 医师一对一服务


  中西医结合辨证治疗 食管肠胃早日健康

  北京德胜门中医院胃肠医生擅长将中西利弊分析透彻,去其糟粕取其精华,原生态中药浓缩液,地道药材,古法炮制,根据每位患者的不同病损程度推荐不同治疗疗程,调理脾胃,温肾助阳,清瘀化腐,调整胃肠之功能。最终实现治疗。

width="180"

  修复幽门括约肌阻止反流:阻止胃内容物反流,修复幽门括约肌,从病源上治疗反流性食管炎。

  杀灭病毒、真菌:针对真菌及病毒类型的食管炎,主要以消灭病毒及真菌为核心的治疗。

  化脓消炎增强体抗力:治疗过程中,运用中医特效药物进行化脓治疗,消除炎症。

  抗结核治疗:结核性食管炎,我们采取抗核治疗。中西结合,有效治疗结核性食管炎。

  温馨提示:想对中西医结合治疗方法了解更多,请点击【在线咨询】或拨打电话010-82000600进行咨询


  北京德胜门中医院 专注胃肠健康

  北京德胜门中医院是一家综合性中医院,是经卫生部门正式批准成立的医疗机构,也是一家在中医事业发展中独树一帜的特色中医院。医院自成立以来,通过运用中医特色诊断方法,结合中药配伍的千变万化辩证施治,对治疗常规疾病以及非常规性疑难杂症疾病诊治有独到之处。自建院以来,北京德胜门中医院的年门诊量、年率一直位于北京市前列。

width="250"

  北京德胜门中医院自建院以来一直遵循国际诊疗高标准,对胃肠常见病、多发病、顽疾及职业病等,真正做到了“专科专病专治”。医院秉承严谨求实的科学态度和诚信求精的行医宗旨,荣获“中国中医科学院--中医药科技合作中心临床基地”、“世界中医药学会副会长单位”、“全国中医疑难病医师临床诊疗中心”等多项殊荣!

  德胜门中医院胃肠医师表示,在日常的生活工作当中,我们一定要养成良好的生活习惯。作息规律、忌酒戒烟,饮食方面,吃低脂饮食,避免食用油腻煎炸及腌制食品。注意少量多餐,晚餐不宜吃得过饱,避免餐后立刻平卧。如果出现不适症状应立即去医院就诊,避免延误病情。想来院就诊或对胃肠方面有什么疑问都可以同我们进行交流 >>> 【点击进入北京德胜门中医院消化内科咨询平台】德胜门中医院消化内科祝广大患者早日。
 


推荐阅读